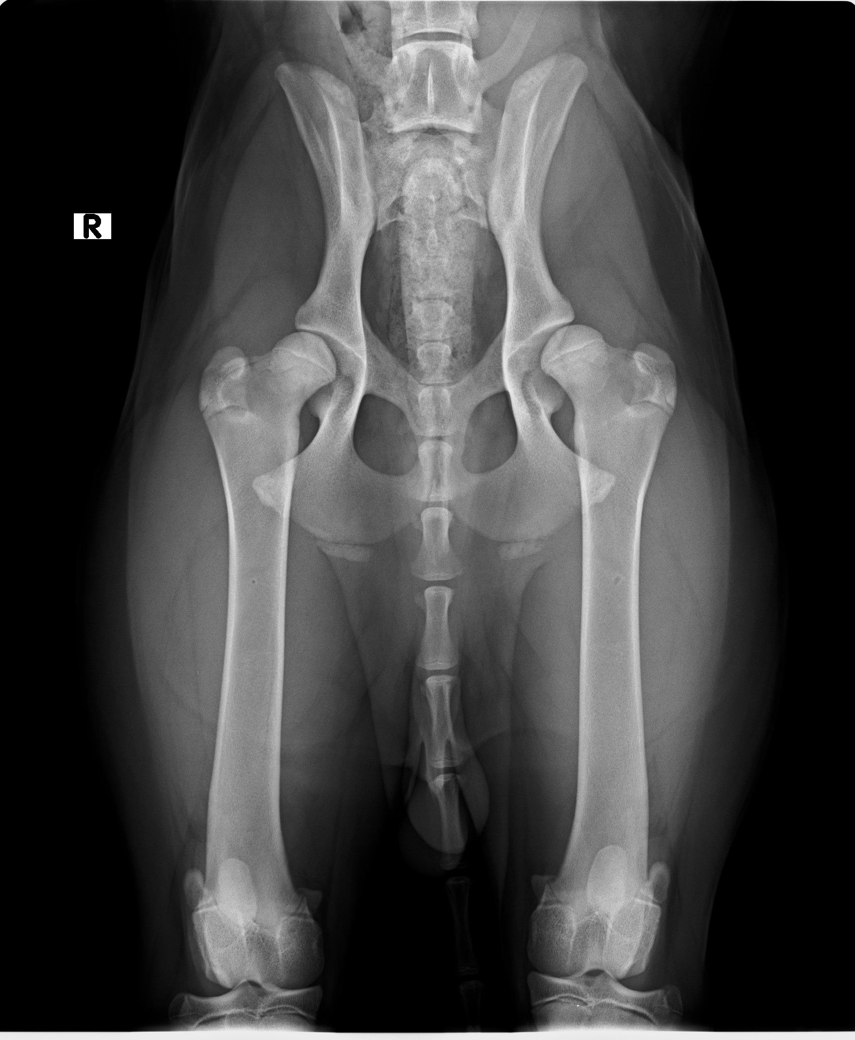
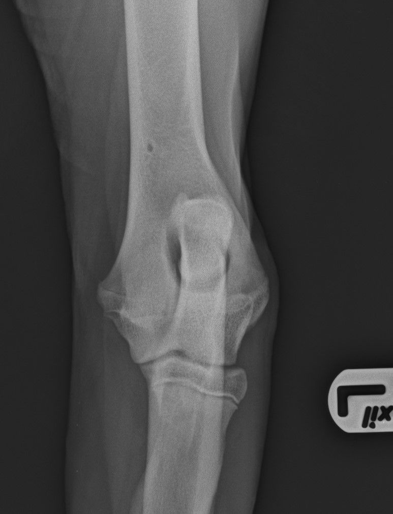
esame radiografico per displasia di anche e gomiti
Radiografie ufficiali FSA
DISPLASIA DELL'ANCA E GOMITO
La displasia dell'anca e del gomito sono malattie ereditarie che colpiscono i cani durante la crescita, causate da fattori genetici, ambientali, nutrizionali e traumatici, che alterano lo sviluppo articolare e portano a dolore, limitazione e artrosi.
PRESSO IL NOSTRO AMBULATORIO è POSSIBILE EFFETTUARE LA VISITA ORTOPEDICA E LO STUDIO RADIOGRAFICO PRECOCE, PREDITTIVO PER LA DISPLASIA, CHE CI PERMETTE DI MIGLIORARE LA QUALITà DELLA VITA DEL TUO CANE.






